Temecula Dental Veneers
Easily transform your smile
Premier Veneer Solutions
Want to correct a small imperfection, or desire a gorgeous and confident smile? At Paul Mundl, DDS, we offer top-notch Temecula dental veneers for patients looking to enhance their smiles easily and effectively.
Whether it’s fixing chips, stains, or gaps, our veneers provide a durable and aesthetically pleasing solution. In collaboration with skilled ceramists, our expert team makes veneer teeth that match your natural teeth, ensuring a seamless smile.
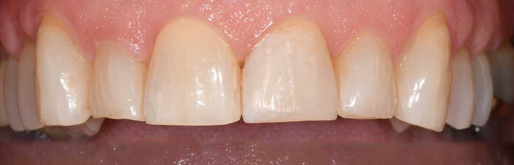
Seeing is Believing


Top-rated Temecula veneers specialist
- One of only 500 dentists nationwide to be an Accredited Member of the American Academy of Cosmetic Dentistry (AACD).
- Collaborates with the best veneer ceramists to achieve the perfect smile and symmetry.
Veneers at Paul Mundl, DDS
Opting for Temecula dental veneers means choosing a transformative cosmetic solution with the power to boost your confidence. Dr. Mundl, our expert cosmetic dentist, is an accredited member of the American Academy of Cosmetic Dentistry, making him an expert in cosmetic treatments in Temecula.
- Minimal-No Prep: Preserve tooth integrity with minimal to no reduction.
- Natural Appearance: Achieve a seamless smile without the “chiclet” look.
- Premium Cosmetic Labs: We work with top national labs specialized in veneers for superior results.
- One Chance for Perfection: Ensure precise veneer placement from the start.
IMPORTANT NOTICE: What you need to know before getting Veneers
Far too often, we see patients who’ve received poorly done veneers. In many cases, the previous dentist has removed excessive tooth structure, leaving them with limited options and compromised dental health.
When it comes to veneers, minimal to no preparation is vital. Preserving natural tooth structure not only ensures a healthier foundation but also provides flexibility for future treatments. Moreover, make sure to choose a cosmetic dentist who understands the importance of your smile to your overall facial harmony.
If you’re considering veneers, speak with experts, like our team at Paul Mundl, DDS, to learn more. Your smile deserves nothing less than the best!
Why choose an accredited cosmetic dentist?
Did you know there’s no special certification for cosmetic dentists? This means that any dentist can call themselves a cosmetic dentist. But think about this: if you needed plastic surgery, would you go to your regular doctor or a trained plastic surgeon? That’s why it matters if a dentist is accredited by the American Academy of Cosmetic Dentistry (AACD). They’re the only group that trains and accredits dentists in cosmetic dentistry.
Choosing an AACD-accredited dentist means you get care from a professional with the highest level of training and education in cosmetic dentistry.
Get started with a free consultation
Curious about veneers? Discover what they can do for you with a free veneers consultation. Take a look at your new smile with our cutting-edge PreVu simulation.
Answers to your questions
What are dental veneers?
How long do veneers last?
Are veneers right for me?
How do I care for my veneers?
What to Expect
- A thorough consultation to discuss your goals and options
- A customized treatment plan designed for your unique smile
- Expertly matched and fitted veneers for a natural, beautiful look
- Careful guidance on maintaining your veneers
How It Works
1. Consultation
Available virtually or in person
2. Smile Design
3D scanning or impression
Consultation with ceramist
3. Temporary Veneers
Tooth preparation
Installation of temporary veneers
4. Final Stage
Application of porcelain veneers
Bite analysis and night guard fitting
The experts in cosmetic dentistry
Tailored Cosmetic Expertise
The only AACD-accredited cosmetic dentist in the Temecula area.
State-of-the-Art Technology
Personalized Care
Every smile makeover is tailored to each patient.
Comprehensive Support
From consultation to aftercare, we’re with you every step.
Get started with veneers
Ready to upgrade your smile? Fill out the form and upload a photo of your smile to jump-start your veneer makeover.
Office information
Monday-Thursday: 8:00-5:00
Friday: 8:00-3:00


