Expert Temecula Cosmetic Dentist
Discover your best smile
Smiles that shine with confidence
We specialize in transforming smiles into their most beautiful versions. As the only American Academy of Cosmetic Dentistry Accredited member in Temecula and surrounding cities, Dr. Paul Mundl stands as a leading expert in cosmetic and restorative dental care.
From subtle changes to major transformations, our expert Temecula cosmetic dentist can make you look and feel your best. Our conservative approach prioritizes both aesthetics and functionality, often recommending Invisalign before restoration for optimal results. We deliver top-notch treatments, collaborating with leading labs for stunning Smile Designs. Explore our options today for a beautiful, healthy smile.
Dr. Mundl, AACD Accreditation
Dr. Paul Mundl is one of the few dentists nationwide to earn Accreditation from the American Academy of Cosmetic Dentistry, a credential achieved by less than one percent of dentists.
This distinction reflects his advanced training, artistic skill, and proven ability to handle everything from minor cosmetic enhancements to complex smile restorations. Patients choose Dr. Mundl because they know their care is guided by a dentist who meets the highest standards in aesthetics, function, and long-term oral health; all delivered with the personal attention and precision your smile deserves.
Seeing is Believing
Why choose an AACD-accredited dentist?
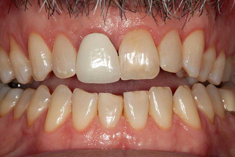
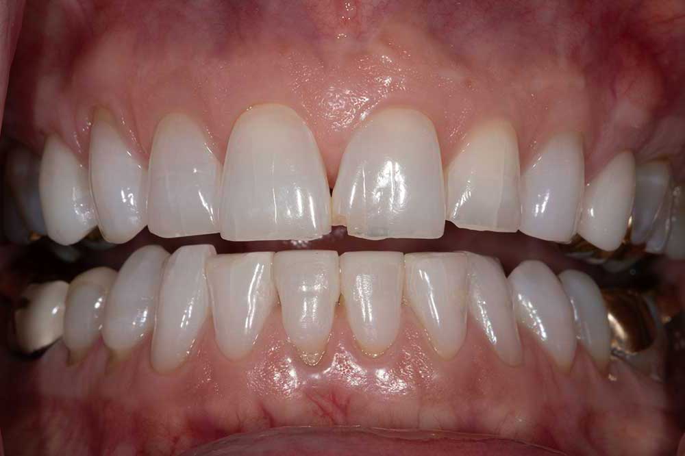
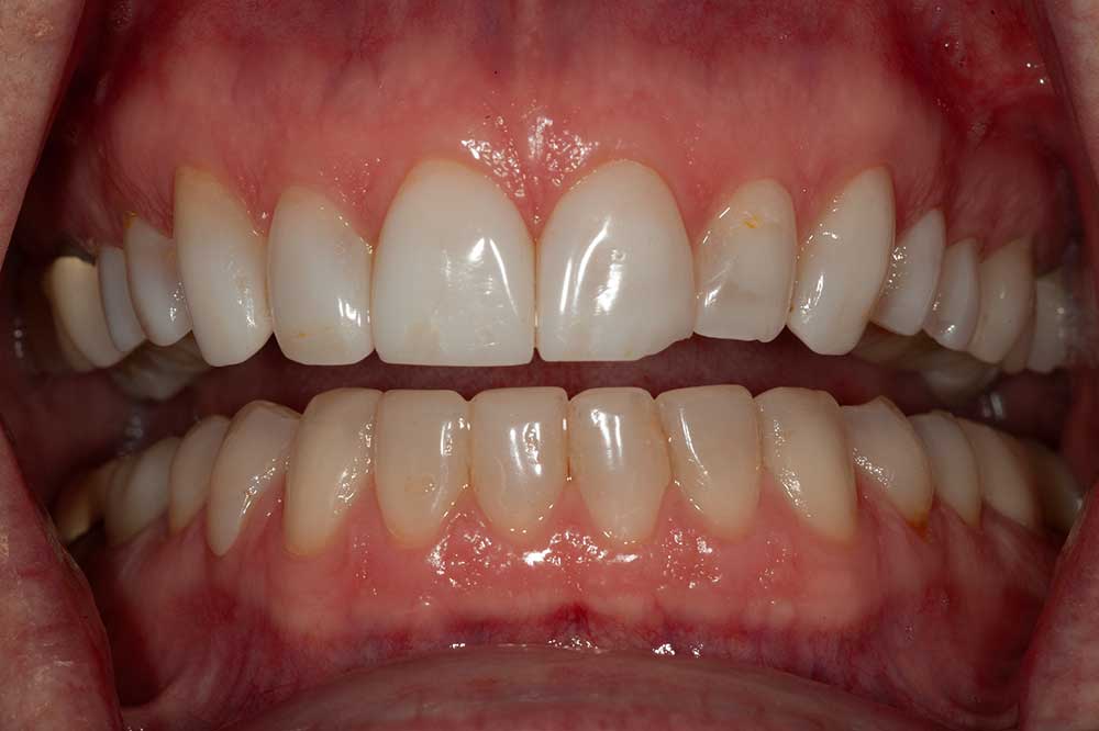
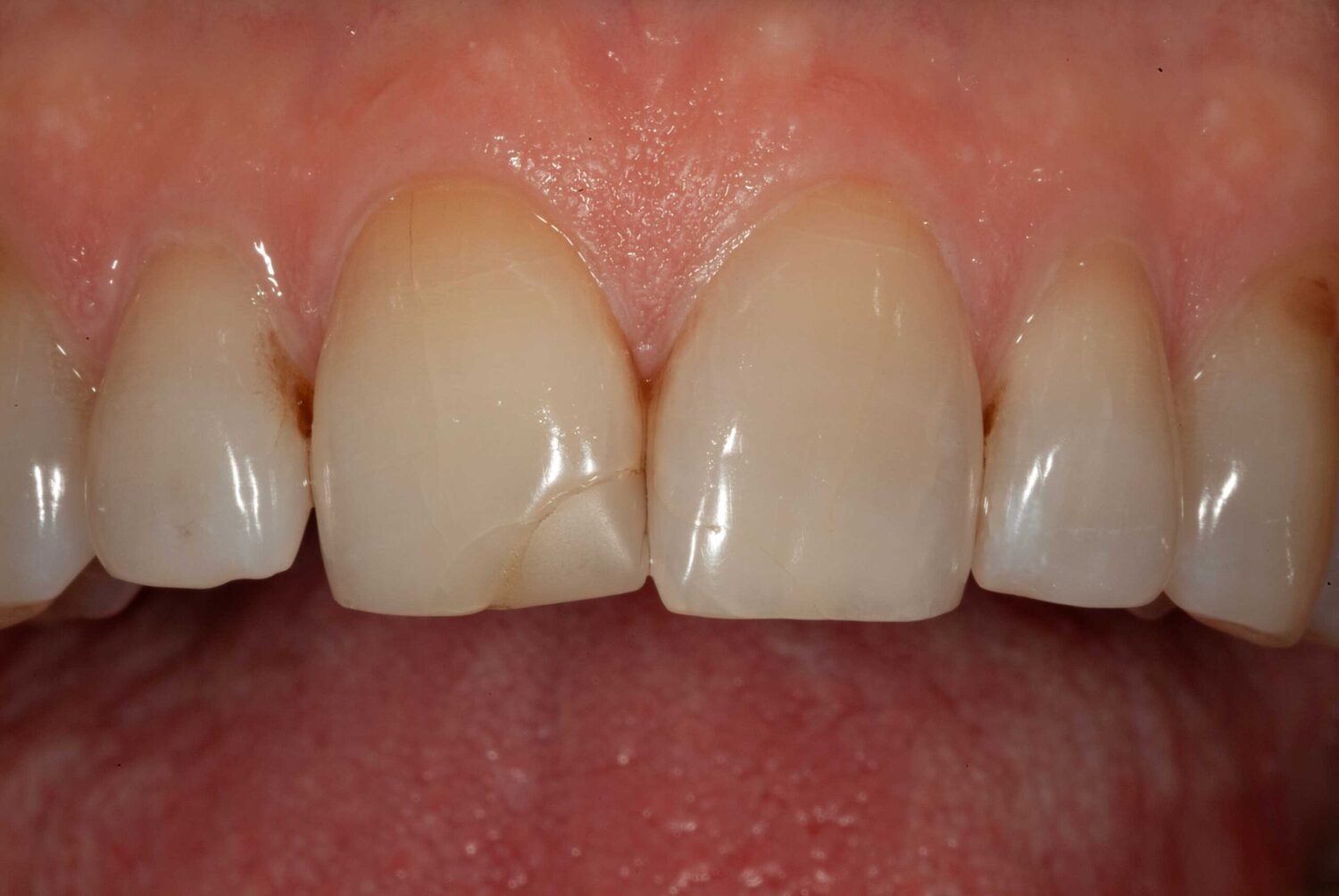
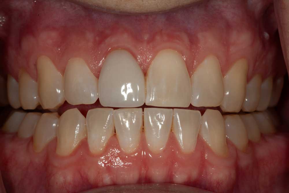
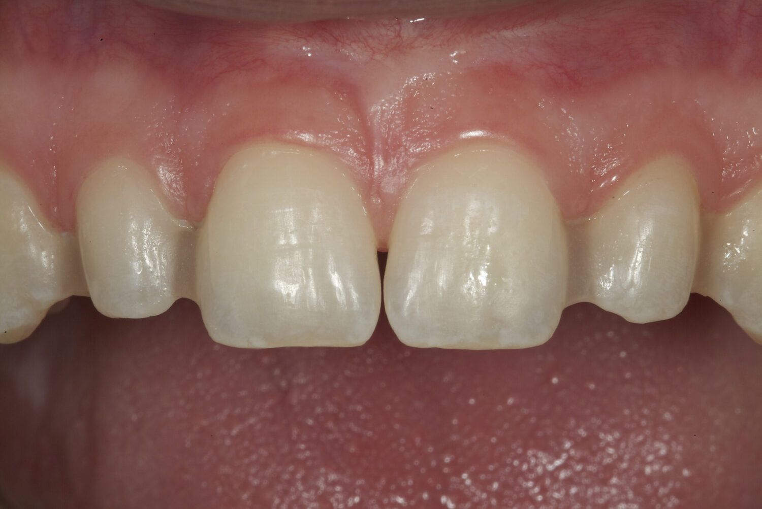
See the stunning results our patients have experienced through our cosmetic dental services. Be inspired by the real-life changes and imagine the possibilities for your own smile.



Veneers

Composite FIlling


Composite Bonding
From Virtual to Real


Unique Cosmetic Solutions

Veneers
These thin, custom-made shells are designed to cover the front side of teeth to improve their appearance. Veneers are an excellent option for correcting discoloration, chips, misalignment, or gaps between teeth.
Learn more

Smile Makeovers
Experience a total smile transformation through personalized treatments combining dental procedures like veneers, teeth whitening, and other treatments to achieve your dream smile and boost your confidence.
Learn more

Dental Bonding
Improve your smile’s look with dental bonding, a painless procedure where tooth-colored resin is applied to repair chips, cracks, and gaps, resulting in a natural-looking, beautiful smile.
Learn more

Clear Aligners
Offering a modern approach to straightening teeth, clear aligners are virtually invisible, comfortable to wear, and removable for eating, brushing, and flossing. This innovative cosmetic dentistry option provides an aesthetically pleasing alternative to traditional braces.
Learn more

Cosmetic Crowns
Renew your smile with custom-made crowns, restoring strength and beauty to damaged teeth while blending seamlessly with your natural teeth for a flawless appearance.

Teeth Whitening
Safe, effective, and fast, our whitening treatments can remove years of stains and discoloration, giving you a noticeably whiter smile in just one appointment. Rediscover the confidence to smile with our personalized whitening plans.
Complete Smile Transformations
Renewing your smile doesn’t always mean extensive dental work. A slight adjustment in the color, shape, or alignment of your teeth can dramatically improve your appearance.
Whether you’re interested in simple touch-ups like veneers or teeth whitening, or need a more comprehensive solution such as a full mouth reconstruction or All-on-X implants, we use the latest techniques to ensure beautiful and lasting results.
Often, you can achieve a stunning makeover without the need for extractions or invasive procedures. Let us help you discover the possibilities for your smile.
Call: (951) 676-1232.
What to Expect
- Provides a personalized approach to cosmetic dental care
- Uses cutting-edge technology for precise, stunning outcomes
- Offers the expertise of an AACD Accredited cosmetic dentist
What Sets Us Apart
Accredited Expertise
The only AACD-accredited cosmetic dentist in Temecula.
Customized Care Plans
Tailored solutions to meet your cosmetic goals.
Advanced Visualization
See your future smile with our PreVU simulations.
Comprehensive Options
From veneers to clear aligners — all your cosmetic needs, under one roof.
Get Started
Office information
Monday-Thursday: 8:00-5:00
Friday: 8:00-3:00


