Smile Gallery
See the Transformations
Real smiles, real changes
Take a look at how we’ve transformed smiles and boosted confidence! Over the years, we’ve helped many patients achieve the beautiful, healthy smiles they’ve always wanted. From fixing small chips to complete makeovers, see the real changes we’ve made and imagine what we can do for you.
Let these before and after photos inspire your own transformation.

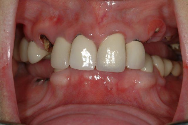
After years of neglect and a traumatic fall, we helped this patient seek a comprehensive, non-removable solution. Utilizing dental implants and custom-made bridges, the All-On-6 procedure was the ideal choice for both the upper and lower teeth, providing a beautiful, functional, and natural-looking smile.

Gum disease and loose teeth led this patient to seek a stable, non-removable solution. The All-On-6 process, utilizing dental implants and custom-made bridges, delivered a permanent, confident smile.

From never smiling to always smiling, this smile makeover transformed a patient’s life. It did more than make their smile look good — it boosted their confidence and happiness.

Longing for a more youthful smile, this patient opted for 10 ultra-thin porcelain veneers, which provided a confident, radiant look.

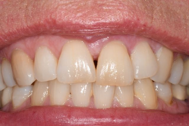
When it’s your front tooth, perfection is essential. Replacing a mismatched color crown restored this patient’s smile to a natural, seamless appearance that is virtually undetectable.

The best solution for replacing a failing root-canaled tooth often involves a dental implant. This patient needed a new tooth due to a fractured root, and with a custom-made crown, we restored their smile to full health and beauty.
Full Mouth Reconstructions

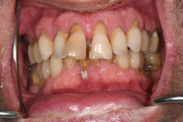
Years of pain and suffering from dental cavities made this patient realize the need for a complete dental care solution. We implemented the All-On-6 process to eliminate all dental disease and give them a beautiful, natural, confident smile.

Failing dentistry, cavities, and gum disease led this patient to seek a comprehensive approach to their dental concerns. The All-On-6 process for both the upper and lower teeth gave this patient a healthy, pain-free smile that will last for years.

Driven by the dream of a more confident smile and eliminating dental disease, this patient underwent the All-On-6 process for both the upper and lower teeth. The final solution delivered a healthy, beautiful smile.

With failing dentistry and missing and broken teeth, this patient sought a better solution. Using the All-On-6 process for both the upper and lower teeth, we helped them achieve a confident, white smile free of dental disease.
Cosmetic Dentistry

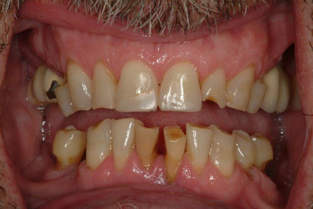
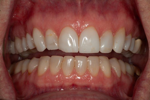
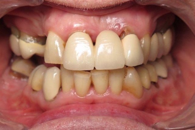
After suffering from failing dentistry, dark teeth, and mismatched dental work, this patient expressed their desire for a stunning smile. Using ceramic veneers and crowns, we made this dream come true, delivering a confident and radiant smile.

Worn teeth from grinding led this patient to seek a more confident, natural-looking smile. Using orthodontics to reestablish their healthy bite, and 10 upper porcelain veneers, we transformed their smile.

Chipped, worn teeth from years of use left this patient desiring a more confident smile. We used dental composite, a material typically used for fillings, to hand-craft 10 upper veneers, restoring their teeth to a more natural and healthy appearance.

Dental implants are often the best solution for replacing missing teeth. This patient received implants along with porcelain veneers and crowns to complete a transformative smile makeover.

This patient wanted to enhance their smile, as they were especially unhappy with the color and visible black triangles from gum recession. 6 conservative veneers and 2 bridge replacements renewed her smile beautifully.

Worn and discolored teeth led this patient to seek a brighter, more confident smile. We used 10 porcelain veneers to achieve this rejuvenated look.

After losing a front tooth to fracture, this patient chose a dental bridge and porcelain veneer for the front 4 teeth, achieving ideal symmetry and a confident, seamless smile.

Following an implant failure, this patient opted to replace her front tooth with a bridge, requesting minimal tooth removal. A veneer and ultra-conservative prep supported a three-tooth bridge, resulting in a fantastic and functional smile.

Replacing 4 color-mismatched crowns worked wonders for this patient’s smile. Selecting the right porcelain and matching it to natural teeth created a confident, natural-looking smile that leaves everyone wondering if any dental work was even done.

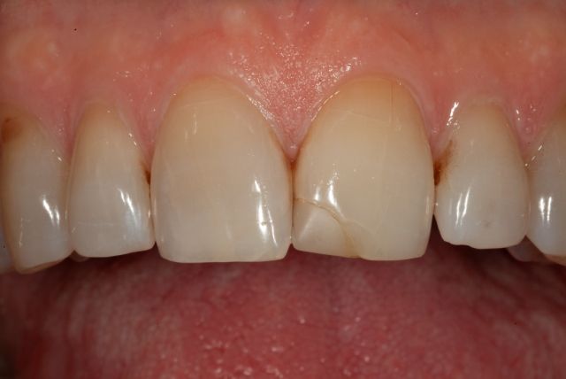
After the corner of this front tooth broke due to trauma, and years later the filling needed replacement, we restored the tooth to perfect shape, size, and color using composite bonding with an ultraconservative approach.

This patient, with failing dentistry, opted for the All-on-X procedure on her upper jaw to achieve a beautiful, non-removable bridge, giving her a smile to be proud of.

Broken veneers on the front two teeth and gum recession prompted this patient to seek treatment. We placed new veneers on the front four teeth, creating a perfect, natural smile.
Our Commitment to Excellence
State-of-the-Art Techniques
Leading the way with advanced dental solutions.
Personalized Care
Every treatment plan is designed to meet your needs and goals.
Lasting Results
Durable, gorgeous smiles designed to stand the test of time.
Restorative & Cosmetic Expertise
The only American Academy of Cosmetic Dentistry Accredited member in Temecula.
Get Started
Office information
Monday-Thursday: 8:00-5:00
Friday: 8:00-3:00


